MOBILE 체크용
닫기
비급여항목
SEOUL JJ
DENTAL

치아교정

전체교정

치과교정전문의 원장님이 직접 진료하는 교정치료

전체교정이란?

고르지 못한 치열을 가지런하게 교정

치열이 고르지 않아 입구조가 돌출되거나, 안면비대칭의 원인이 되는 등
부정교합인 치아를 교정장치를 통해 고르게 만들어주는 치료입니다.

가지런한 치열과 돌출된 입구조를 개선하여 미소를 아름답게 만들어드립니다.

진료사진

WHO?

전체교정 추천대상

  • 치아 사이가 벌어진 분
  • 앞니가 닿지 않는 분
  • 윗니가 아랫니를 과하게 덮는 분
  • 덧니로 인하여 치아배열이 고르지 못한 분
  • 치아가 돌출되어 입구조가 튀어나온 분
  • 음식물을 씹기 어려운 분
  • 발음이 부정확한 분

시술 진행과정

  • Step.1

    상담 및 검진

    치열 상태와 입구조 등을
    정밀히 검진하여
    문제점을 파악합니다.

  • Step.2

    치료 계획 수립

    검진 결과에 따라 필요한
    치료방법과 교정장치 선택 및
    치료일정을 수립합니다.

  • Step.3

    교정치료

    계획에 따라 알맞은
    교정장치를 부착하여
    치료가 필요한 기간동안
    치료를 진행합니다.

  • Step.4

    교정장치 제거 및
    유지장지 부착

    교정치료가 완료된 후
    교정장치를 제거,
    교정상태 유지를
    위해 유지장치를 부착합니다.

  • Step.5

    정기검진

    유지장치를 부착한 후
    주기적인 내원을 통해
    유지상태를 체크합니다.

시술 후 주의사항

  • 픽토그램

    고정식 교정장치 장착 시
    2~3일 정도 이가 시리거나
    뻐근할 수 있습니다.

  • 픽토그램

    질기거나 딱딱한
    음식(껌, 마른오징어 등)은
    되도록 피해야 합니다.

  • 픽토그램

    교정장치와 연결된 철사에
    문제가 생긴 경우
    내원하는 것이 좋습니다.

  • 픽토그램

    높은 교정치료 만족도를
    위하여 정기검진 날짜를
    꼭 지켜주세요.

교정장치 안내

activator activator activator activator

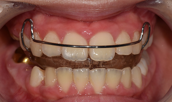
Activator

Activator는 장치 내에서 치아를 이동시키지 않고, 근육을 활성화 시키는 방법을 통해 교정치료를 가능하게 해주는 악기능장치입니다.

II급 1류, II급 2류, III급 부정교합 및 개방교합 등 다양한 교정치료에 사용됩니다.

POBB POBB

Posterior Occlusal Bite Block(POBB)

POBB는 어금니 부위에 레진으로 만들어진 블럭을 부착한 교정장치입니다.

앞니부분의 치아들이 거꾸로 물리는 경우 사용하며, 교정장치 위아래 앞니 부분에 여유 공간을 두어 치아가 이동할 수 있도록 합니다.

icon

온라인상담

온라인 상담을 통해
시술 상담과 예약을 진행할 수 있습니다.

@서울정진치과
icon

오시는 길 (주차안내)

인천광역시 미추홀구 숙골로 87번길 2,
센타프라자 4층

032.874.5579
icon

진료안내

  • ·AM 09:30 ~ PM 08:30
  • AM 09:30 ~ PM 06:30
  • ·AM 09:30 ~ PM 01:30
  • 점심시간PM 12:30 ~ PM 02:00

TOP