치과교정전문의 원장님이 직접 진료하는 교정치료
전체 치아가 아닌 부분적인 교정만 필요할 경우 해당 부분만 선택하여
단기간 내에 치료를 진행하는 방법을 말합니다.
전체교정에 비해 가격이 저렴할 뿐만 아니라 3~6개월이라는
짧은 기간 동안 진행하기 때문에 방학중인 학생,
취업을 준비하는 취업준비생 등에게 추천합니다.



치열 상태와 입구조 등을
정밀히 검진하여
문제점을 파악합니다.
검진 결과에 따라 필요한
치료방법과 교정장치 선택 및
치료일정을 수립합니다.
계획에 따라 알맞은
교정장치를 부착하여
치료가 필요한 기간동안
치료를 진행합니다.
교정치료가 완료된 후
교정장치를 제거,
교정상태 유지를
위해 유지장치를 부착합니다.
유지장치를 부착한 후
주기적인 내원을 통해
유지상태를 체크합니다.
고정식 교정장치 장착 시
2~3일 정도 이가 시리거나
뻐근할 수 있습니다.
질기거나 딱딱한
음식(껌, 마른오징어 등)은
되도록 피해야 합니다.
교정장치와 연결된 철사에
문제가 생긴 경우
내원하는 것이 좋습니다.
높은 교정치료 만족도를
위하여 정기검진 날짜를
꼭 지켜주세요.
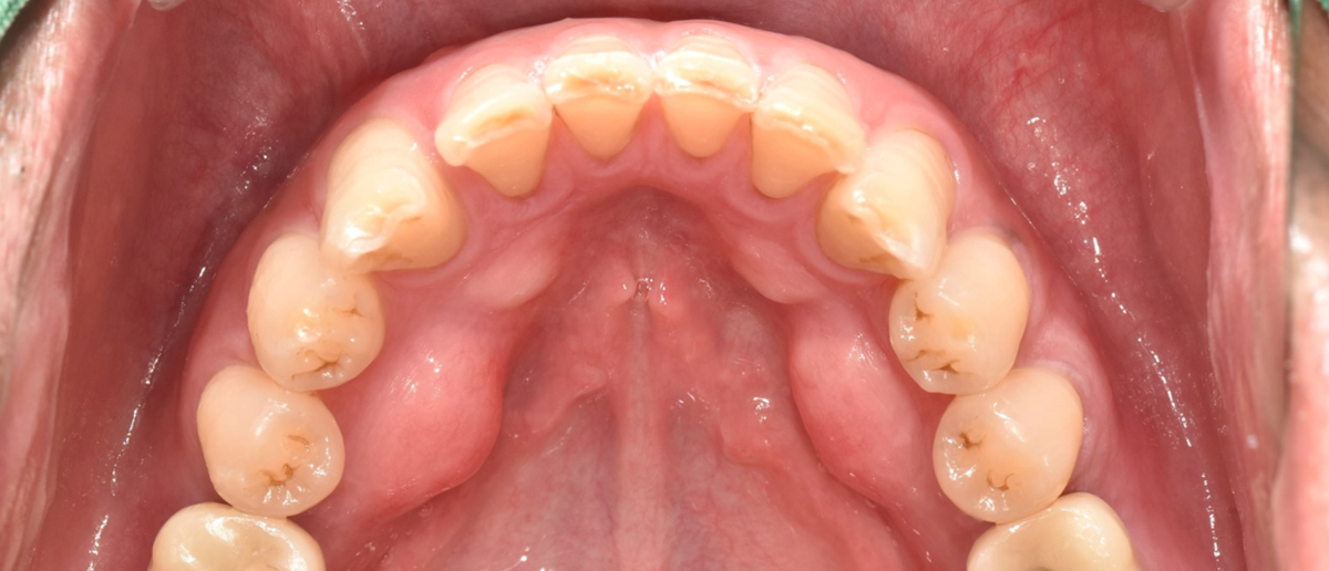
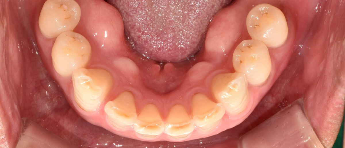
MTA(Mini Tube Appliance) 교정장치는 두께 1.3mm의 작은 원통 튜브 교정장치 입니다.
교정장치 색상의 치아의 색상과 매우 유사하기 때문에 심미적인 부분을 크게 신경 쓰는 분들에게 적합하며
빠른 기간 내에 교정효과를 볼 수 있다는 장점이 있습니다.

6~8개 치아 부분교정
약 3~6개월
치아와 유사한 색상
작은 원통 큐브, 착용시 이물감 없음

치아 전체교정
약 2년
눈에 띄는 은색
단단하고 날카로운 교정장치, 철사로 인한 이물감
온라인 상담을 통해
시술 상담과 예약을 진행할 수 있습니다.
인천광역시 미추홀구 숙골로 87번길 2,
센타프라자 4층
TOP