신속한 치료로 지키는 소중한 자연치아!
충치(치아우식증)로 인해 치아 조직의 손상이 있을 경우
손상된 부분을 제거한 후 레진, 골드, 세라믹 등의 치과용
충전재료를 메우거나 씌워 치아의 기능을 회복하게 하는 시술입니다.


치아 및 잇몸상태 체크
필요에 따라 통증이 발생할 수 있는
부위에 마취를 진행한 후 충치 제거
치아의 모양에 맞는 보철물을
디자인 후 기공소에서 보철물 제작
제작한 보철물
치료된 부위에 부착
마취가 풀린 후 부터
음식물 섭취가 가능합니다.
차가운 음식
(얼음, 아이스크림 등)은
당분간 피해야 합니다.
질기거나 딱딱한
음식(껌, 마른오징어 등)은
되도록 피해야 합니다.
식사 후 반드시 양치질을
잘 해줘야 합니다.
대개 잘 보이지 않는
한두개의 점 모양
급격한 온도차에
의한 통증 발생
온도차 뿐 아니라
음식을 먹을 때 통증 발생
신경조직과 뿌리
끝까지 진행된 상태
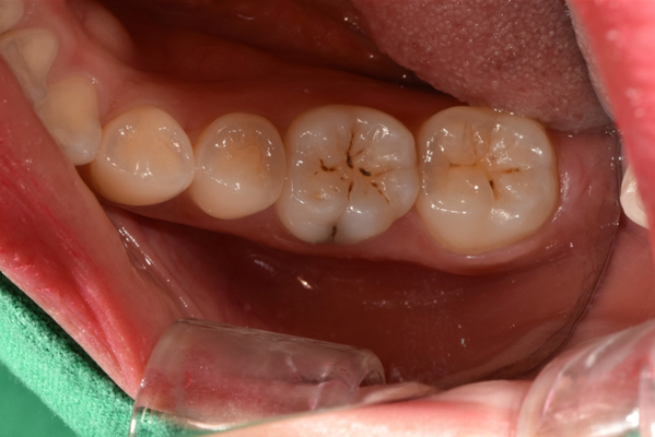
충치부위를 제거한 후 치과용 충전재료를 충전하는 방식이며 치아 손상이 경미한 경우에 진행합니다.
충치가 제거된 부위에 모양을 본 떠 금, 도자기 등의 재료로 구성된 보철물을 접착합니다.
치아가 파절되었거나 충치부위가 광범위한 경우 치아 모양의 본을 떠
크라운을 제작한 후 씌우는 치료를 진행합니다.
치아의 손상 정도가 심각하여 치아 내부 조직인 신경 혈관에 염증이 생긴 경우,
내부 조직을 제거한 후 치과용 충전재료를 충전한 후 크라운을 씌워 마감합니다.
온라인 상담을 통해
시술 상담과 예약을 진행할 수 있습니다.
인천광역시 미추홀구 숙골로 87번길 2,
센타프라자 4층
TOP