MOBILE 체크용
닫기
비급여항목
SEOUL JJ
DENTAL

0.1mm
무삭제 라미네이트

SEOUL JJ DENTAL

완전 무삭제
라미네이트

0.1mm가 만들어내는 맑은 투명함

SEOUL JJ DENTAL

완전 무삭제 라미네이트
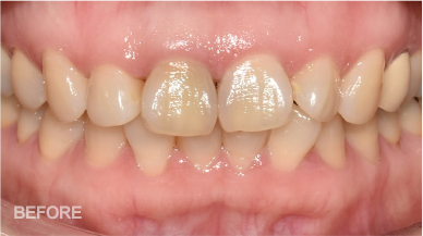
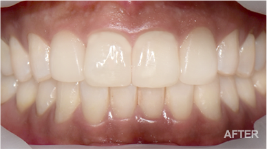
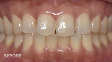
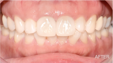
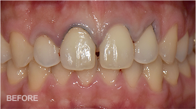
치료 증례

전 후
버튼을 좌우로 움직여 보세요
전 후
버튼을 좌우로 움직여 보세요
전 후
버튼을 좌우로 움직여 보세요

본 이미지는 촬영 조건에 따라 실물과 다르게 보일 수 있으며,
개인마다 치료 결과의 차이가 있을 수 있습니다.

icon

온라인상담

온라인 상담을 통해
시술 상담과 예약을 진행할 수 있습니다.

@서울정진치과
icon

오시는 길 (주차안내)

인천광역시 미추홀구 숙골로 87번길 2,
센타프라자 4층

032.874.5579
icon

진료안내

  • ·AM 09:30 ~ PM 08:30
  • AM 09:30 ~ PM 06:30
  • ·AM 09:30 ~ PM 01:30
  • 점심시간PM 12:30 ~ PM 02:00

TOP